Skip Menu
Continue
  • 120 School Street,
  • Lexington, MA 02421
  • Home
  • About Us
    • Our Office
    • New Patients
    • Smile Gallery
    • Dental Videos
    • Testimonials
  • Our Doctors
    • Sarah Haven Davis, DMD
    • Jocelyne Bourji, DMD
  • Services
      • Dental Bridges
      • Dental Fillings
      • Dentures
      • Digital Radiography
      • E4D Crowns
      • Emergency Treatment
      • Implant Dentistry
      • Night Guards
      • Oral Cancer Screening
      • Oral Exams
      • Periodontal Treatment
      • Sports Mouthguards
      • Teeth Whitening
      • TMJ Disorders
      • Veneers
    • View All
  • Dental Health
  • Contact
    • Contact Us
    • Request Appointment
  • COVID-19

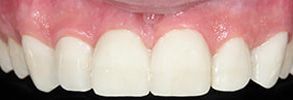
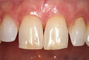
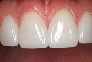
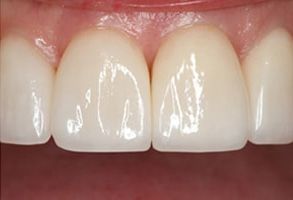
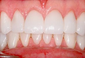
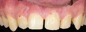
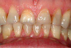
Smile Gallery

Additional Information

Our Location

120 School Street
Lexington, MA 02421
(781) 519-7513

Follow Us